الارشيف / صحة و رشاقة / اليوم السابع

الإصابة بمرض السكر تسبب زوبان الأسنان وضعف المناعة

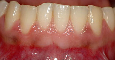
يعانى معظم المصابين، من مشاكل بالأسنان، بسبب الإصابة بمرض السكر، وهو مرض مزمن، يحدث نتيجة لنقص هرمون الأنسولين، مما يحدث خللًا فى إنتاج الجلوكوز بالدم، ويؤثر على أجهزة الجسم، وبالتالى يؤثر على كفاءتها.

يوضح دكتور عادل سعد، استشارى أمراض السكر، أن هناك أنواع لهذا المرض، فنوع يحدث بسبب عجز البنكرياس عن إنتاج الأنسولين، ويصيب هذا النوع الأطفال غالبًا، وهناك نوع آخر ينتج بسبب عدم استجابة خلايا الجسم للأنسولين الذى ينتجه الجسم، وعادة ما يصيب البالغين، ويؤثر السكر تأثيرًا شديدًا على الأسنان، فهو يؤدى لتسوسها، وحدوث عدد من الالتهابات الفطرية، فيقلل من كفاءة الغدة اللعابية، مما يؤثر على عملها بالجسم.

ويشير سعد، إلى أن مرض السكر من أخطر الأمراض التى تؤثر على صحة الفم حيث يسبب الصعوبة فى التئام الجروح، مما يمثل مشكلة حقيقية للمريض، لأنه يساهم فى نمو البكتيريا بشكل كبير، كما أن مرض السكر يؤثر تأثيرًا كبيرًا على اللثة فيسبب مشاكل متعددة بها، تؤدى فيما بعد لذوبان عظم الأسنان، وسقوطها فيما بعد، ومن أكثر الاضطرابات التى يسببها السكر تقليل مناعة الجسم، وبالتالى زيادة القابلية للإصابة بالأمراض، لذا فالمتابعة الجيدة للمرض، وتنظيم تناول الطعام يقلل من الأضرار، التى يلحقها مرض السكر بالفم والأسنان، والتى من شأنها أن تتسبب فى القضاء على الأسنان.

اشترك فى النشرة البريدية لتحصل على اهم الاخبار بمجرد نشرها

تابعنا على مواقع التواصل الاجتماعى